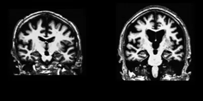
Sleep Loss and Brain Aging

Customary is NOT the same optimal when it comes to sleep. Specifically, let’s talk about a commonly repeated disclaimer, “No, I don’t sleep so well, but, hey, people always sleep less as they get older.” The defense is repeated for good reason as it does seem to be true – the quality and duration of sleep both decline in many if not most people with aging, starting even in your 40’s, which to me sounds still very young!

Too Many Supplements?

“I want to know how many of these capsules YOU take!” protested a patient recently, when she brought in a supplement list that I could not reasonably shorten for her. (I like to do a supplement review with patients – we commonly identify supplements that are no longer necessary.) 

Strategies to Survive the Feasting

The Thanksgiving holiday can be the occasion for multiple different over-doing debacles, more so than any other holiday. The eating and drinking are largely focused on one day. The televised football games – and a lucky window of afternoon sun – are perfect inspiration for a pick-up football game!

Think Twice About Aspirin

Confirming other similar results, a study released today reports on the latest efforts to investigate the usefulness of daily aspirin.

Do You Ever Change Your Mind?

Keeping up with research includes not only reading the research, but reading the response to the research. I particularly enjoy thoughtful responses to our shifting store of medical and health knowledge. And sometimes I get a kick out of particular institutions and individuals who will never change.

Don’t Make Mine Milk

A recent study published in the British Medical Journal found that high levels of milk drinking did not confer the benefits milk producers promote.

October’s Best Pink Becomes Red

Let’s re-boot October’s pink message! In the past “breast cancer awareness” has often meant beauty products (some containing carcinogens) labeled with pink ribbons to promote mammograms. In the future, let’s think of October as support for women – all women – with breast cancer prevention, primary and secondary, better research into the causes of breast cancer, industry regulation where necessary, and comprehensive programs for women enduring breast cancer treatment.

6 Reasons to Fatten Up Your Coffee


Have you tried Bulletproof Coffee (also known as butter coffee), the brainchild of Bulletproof Executive Dave Asprey? I was reluctant to try it, conjuring images of fermented yak butter forming an oily slick on weak tea. I not only loved it right away, I now recommend it to patients for a variety of reasons, and in various forms.

Eggs and Bacon for Adults, Too

For decades, one possibility of treating seizures in children has been the ketogenic diet. Once the mainstay of epilepsy treatment, the troublesome ketogenic diet faded to a lesser position with the advent of pharmaceutical drugs capable of controlling seizures with only minimal or moderate side effects.

Dynapenia

At the recent Ancestral Health Symposium in Berkeley, California, one morning hosted an array of international experts on muscle health. Although I’ve previously written about “Sarcopenia,” I now have more to say about “dynapenia!” Read on – and you can view the talk that inspired this column on the AHS14 video site here. How do […]