
Sleep Loss and Brain Aging
Customary is NOT the same optimal when it comes to sleep. Specifically, let’s talk about a commonly repeated disclaimer, “No, I don’t sleep so well, but, hey, people always sleep less as they get older.” The defense is repeated for good reason as it does seem to be true – the quality and duration of sleep both decline in many if not most people with aging, starting even in your 40’s, which to me sounds still very young! However, accepting shorter sleep because it’s common is not such a good idea.
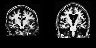
Duke researchers have identified the ways in which aging brains deteriorate when they have shortened sleep. Brain function was evaluated by in-person and MRI assessments every two years following 66 generally healthy Chinese adults, starting at the age of 55. For every hour of lost sleep, the ventricles expanded and cognitive skills declined, compared to those who maintained a healthy sleep duration. The sleep-deprived brains looked more like the brain on the right in the picture: the brain with the large black (no-brain) spaces, now filled with fluid where there used to be brain, what is called “ventricular enlargement,” which really amounts to loss of brain tissue.
The pictures, by the way, should be labeled “Normal” on the left and “Alzheimer’s” on the right.
Need I say more? Figure out a way to prioritize sleep. If you have trouble getting to sleep or staying asleep, there are gentle and health-promoting ways to enhance sleep. Sleeping pills and anti-histamine sleepers (Unisom) do not provide normal sleep. Tryptophan, l-theanine, and melatonin – among others – are tools that can help preserve normal sleep brain function and health.